Chi siamo

Pionieri nelle cure dentali personalizzate

Qualità, Risparmio e Soddisfazione

Perché Scegliere Dental Turismo?

Dental Turismo è la scelta ideale per riavere fiducia nel tuo sorriso, grazie a:

  • Oltre 300 pazienti italiani ogni anno che riottengono la fiducia nel sorriso con noi.
  • Un risparmio del 70% rispetto ai costi dentali in Italia.
  • Garanzia di un lavoro di qualità e cura attenta.
  • Il nostro impegno per la tua soddisfazione, perché il tuo sorriso è la nostra gioia e la tua soddisfazione il nostro miglior biglietto da visita.
  • Siamo altamente specializzati, all’avanguardia.
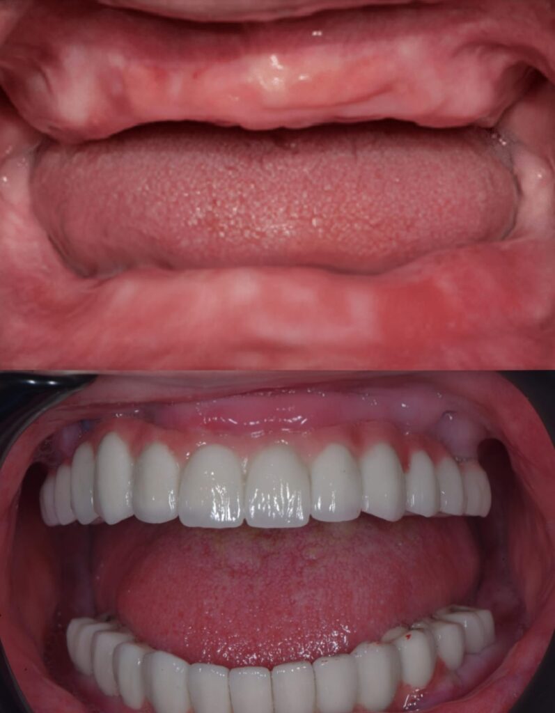
  • siamo specializzati in Grandi Riabilitazioni Dentali con tecnica ALLON4, ALLON6, ZIGOMATICI.
  • Organizziamo tutto noi volo, hotel e autista.

Il turismo dentale in Albania è sempre più popolare grazie a:

  • Soluzioni dentali di alta qualità a prezzi convenienti.
  • Cliniche dentali ben attrezzate e gestite da dentisti altamente qualificati.
  • Paesaggi belli e una cultura interessante che rendono l’esperienza piacevole per i pazienti internazionali.

Orari di apertura

Orari di apertura dello studio dentistico

Lunedì - Sabato 09:00 - 21:00
Domenica Chiuso

Il nostro Impegno: Offrire un'Eccellente Salute Dentale

Dental Turismo ci impegna appassionatamente a offrire,un’esperienza dentale eccezionale ai nostri pazienti. Attraverso un approccio personalizzato, utilizzando tecnologie avanzate e offrendo un ambiente accogliente, ci assicuriamo che ogni visita sia confortevole e soddisfacente.

La tua salute dentale è la nostra priorità, e lavoriamo instancabilmente per garantire che tu possa sorridere con fiducia e godere di un benessere dentale ottimale.

Questa struttura in Albania offre una gamma completa di servizi dentali con un focus particolare sulla riabilitazione totale.
La clinica è rinomata per la sua atmosfera accogliente e professionale, garantendo ai pazienti un’esperienza positiva.

Nuovo paziente?

Contattaci ora

Il nostro numero di telefono principale per ogni tua necessità.

Contattaci!

Scrivi ora

Contact Us

© 2025 All rights reserved!